11 gennaio 2026 - Aggiornato alle 16:42
×

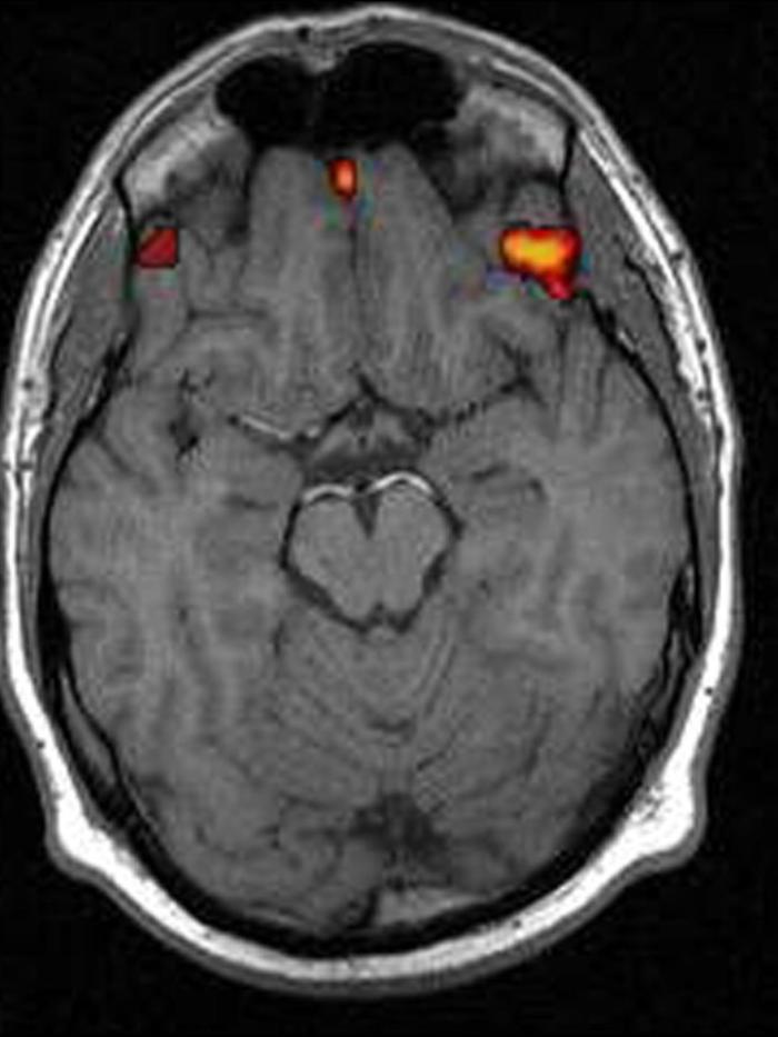
Cervello, trovata 'culla' schizofrenia

Redazione La Sicilia

17 Aprile 2018, 10:36

Cervello, trovata 'culla' schizofrenia

e0e2810c8ae9f631a359de7d466f5ee4_1618737536019

ROMA, 17 APR - Trovata nel cervello la culla della schizofrenia, ossia l'insieme delle aree coinvolte nelle distorsioni della percezione tipiche della malattia. La scoperta, pubblicata su Neuroimage: Clinical, è del Centro per i sistemi di neuroscienze e cognitivi (Cncs) dell'Istituto Italiano di Tecnologia (Iit) a Rovereto. "E' il primo passo per programmare terapie farmacologiche più mirate", ha detto il coordinatore del gruppo di ricerca, Angelo Bifone. La ricerca italiana contraddice la teoria finora più accreditata, per la quale allucinazioni e alterazioni della percezione hanno origine nella corteccia frontale, l'area del cervello che controlla le funzioni cognitive elevate come il linguaggio e la programmazione di azioni.