1 gennaio 2026 - Aggiornato alle 00:48
×

Bimbo di 6 anni ingoia una pila "a bottone": operato al Cannizzaro

Dopo una notte in osservazione, tornato in piena salute, il bimbo, originario di Gela, ha fatto rientro a casa con i genitori

Redazione La Sicilia

23 Marzo 2024, 12:15

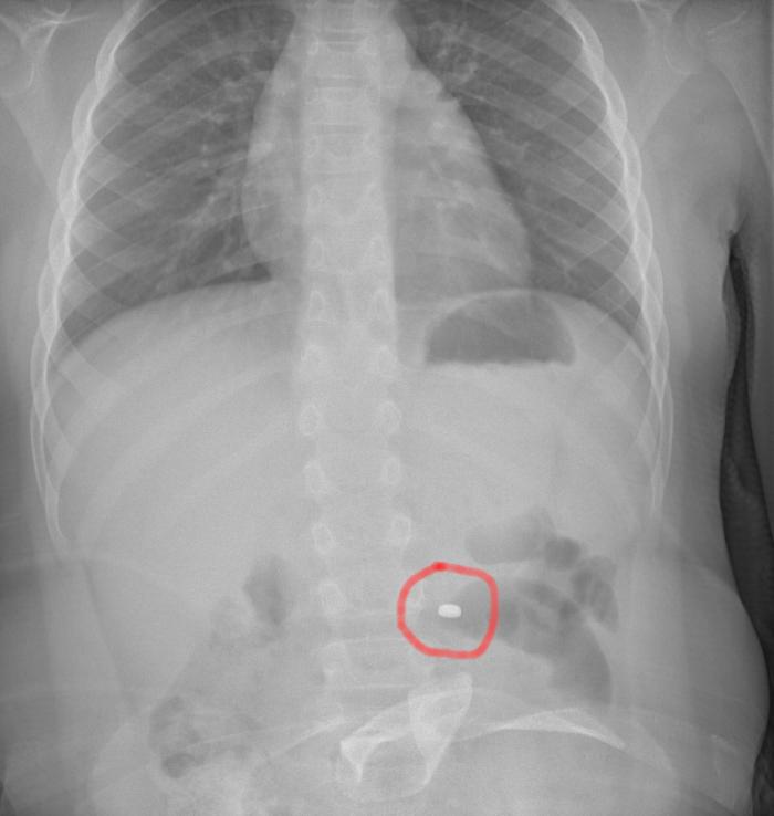
Bimbo operato al Cannizzaro dopo aver ingerito una pila a bottone

Bimbo operato al Cannizzaro dopo aver ingerito una pila a bottone

Sono piccole, rotonde, piatte e sempre più diffuse: le pile “a bottone” al litio, molto utilizzate nei giocattoli e in altri oggetti comuni in ambiente domestico, rappresentano un pericolo proprio per i più piccoli che potrebbero ingerirle. Lo ha segnalato pure il Ministero della Salute qualche anno fa. E proprio un caso del genere è stato gestito e risolto dal Pronto Soccorso pediatrico dell’Azienda Ospedaliera per l’emergenza Cannizzaro, dove nei giorni scorsi si è presentato un bambino di sei anni proveniente da Gela, con un corpo estraneo nello stomaco.

La famiglia, naturalmente spaventata, dopo una prima valutazione al pronto soccorso della propria città, è stata indirizzata al Cannizzaro. Qui i medici hanno compreso il pericolo e applicato le linee guida riferite precisamente all’ingestione di una pila a bottone. Eseguita la radiografia dell’addome che ha messo in evidenza la presenza e la localizzazione del corpo estraneo, il bambino è stato condotto in sala operatoria dove gli endoscopisti, con l’assistenza degli anestesisti, hanno potuto estrarre in sicurezza l’oggetto, prima che esso potesse causare conseguenze più importanti. Dopo una notte in osservazione, tornato in piena salute, il bimbo ha fatto rientro a casa con i genitori.

«Queste batterie - spiega la dottoressa Antonella Di Stefano, direttore dell’Uoc di Pediatria e Ps Pediatrico – possono causare danni sia per l’effetto elettrico e sia per il rilascio di sostanze dopo l’eventuale apertura, tanto all’esofago quanto allo stomaco. Nei casi più gravi si può avere la perforazione esofagea, pertanto è indispensabile intervenire tempestivamente. Facciamo nostra la segnalazione del Ministero della Salute, che ha osservato un incremento negli ultimi anni degli incidenti legati all’ingestione di pile a bottone, soprattutto nei bambini più piccoli: verificate sempre che gli alloggiamenti siano ben protetti e saldamente chiusi».