29 dicembre 2025 - Aggiornato alle 14:50
×

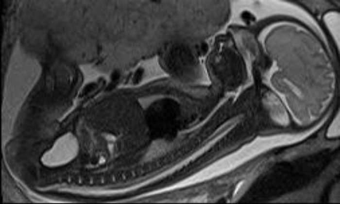
Medicina: al D'Amore Hospital risonanza magnetica su feto di 19 settimane

Redazione La Sicilia

28 Aprile 2016, 06:04

Medicina: al D'Amore Hospital risonanza magnetica su feto di 19 settimane

Feto1_1618864608690

Roma, 28 apr. (AdnKronos Salute) - La tutela della salute inizia nell'utero materno. Al D'Amore Hospital di Taranto è stata eseguita per la prima volta una risonanza magnetica fetale per rintracciare una sospetta patologia cerebrale già diagnostica, su un feto di 19 settimane. E' stata l'équipe di Radiologia, guidata da Maurizio Resta, specializzato nella diagnosi e nel trattamento di patologie in ambito neurologico, a effettuare il delicato esame. "La diagnosi ecografica - spiega Resta - ha accertato una sospetta condizione patologica al cervello del feto e la risonanza magnetica ha chiarito la natura di tale malformazione: questo ha consentito di pianificare il miglior percorso di terapia". "La risonanza magnetica ha assunto un ruolo sempre più cruciale nella determinazione delle anomalie del sistema nervoso fetale, anche in utero - precisa Resta - Diventa fondamentale per il radiologo quando il bebè è ad alto rischio di sviluppare un deficit neurologico". Il principale campo di applicazione della risonanza magnetica fetale riguarda lo studio delle malformazioni del cervello, ma non solo: l'indagine si estende anche alla valutazione delle patologie di collo, torace, apparato gastroenterico e apparato uro-genitale, e di recente anche al cuore fetale. L'esame diagnostico di secondo livello, che sfrutta il campo magnetico, rappresenta infatti un utile complemento alla tradizionale ecografia: è piuttosto articolato perché studia un organismo contenuto nell'utero, analizzando ogni aspetto di un'entità biologica presente in un'altra. "La difficoltà principale nell'esecuzione materiale - prosegue Resta - dipende dalla necessità di inseguire un feto che tende a muoversi. L'esame inoltre è limitato dalle ridotte dimensioni delle componenti anatomiche da indagare". Si tratta tuttavia di un'indagine sicura. "Non ci sono evidenze scientifiche su eventuali danni al bambino dall'esecuzione della risonanza magnetica. L'esame utilizza un campo magnetico e radiofrequenze e non radiazioni ionizzanti, al contrario di quanto accade nella Tac - continua Resta - Le tecniche non invasive di diagnosi prenatale sono andate migliorando sempre più negli ultimi anni, e questo ha consentito di raggiungere risultati più precisi riducendo eventuali rischi causati da emissioni radioattive". Grazie ad apparecchiature all'avanguardia e alla recente introduzione di nuove tecniche di imaging, la Radiologia del D'Amore Hospital si accredita così a centro di riferimento regionale per la prevenzione e la diagnosi di malformazioni fetali attraverso esami specifici di alta complessità in grado di tutelare la salute dei bambini già nell'utero materno. Resta, neuroradiologo di fama internazionale, affiancato da Massimo Donatelli, grazie a una esperienza maturata negli anni anche all'estero, si sono specializzati nell'attività diagnostica che rintraccia precocemente le principali patologie neurologiche, oggi tanto diffuse come ictus, aneurismi e malformazioni arterovenose. Gli specialisti mettono in pratica le metodiche più moderne, come ad esempio la spettroscopia, o la perfusione di risonanza magnetica sul cervello, in grado di individuare anche formazioni neoplastiche di dimensioni molto ridotte.